烤瓷牙可以再换吗

时间:2016-04-22
QQ咨询
|
医师答疑
更多

  烤瓷牙可以再换吗?烤瓷牙是可以替换的。烤瓷牙是有一定的使用期限的,一般情况下烤瓷牙的使用时间是15到20年左右,但如果患者在平时的使用过程中能够认真维护烤瓷牙,或许也能够让烤瓷牙终身使用。

 烤瓷牙可以再换吗

  烤瓷牙替许多牙齿有缺陷的朋友解决了困扰多时的麻烦,很受人们的青睐。但是由于每个患者的情况不一样,可能对于烤瓷牙的满意程度也存在差异,又或是因为一些意外情况使得烤瓷牙出现了问题,那该怎么办呢?可以替换新的烤瓷牙呀吗?

  烤瓷牙出现问题后可以替换吗?

  烤瓷牙是可以替换的。烤瓷牙是有一定的使用期限的,一般情况下烤瓷牙的使用时间是15到20年左右,但如果患者在平时的使用过程中能够认真维护烤瓷牙,或许也能够让烤瓷牙终身使用,反之如果在使用过程中不爱护和爱惜烤瓷牙,那么有可能使用不久就就出现问题,所以医师在这里提醒大家,烤瓷牙在做好后,还是需要定期的找修复的医生检查,医生会告诉患者该如何维护和保养烤瓷牙。

  小编要在此提醒大家,如果您已经做了烤瓷牙,也想有效的延长烤瓷牙的使用时间的话,那么一定要注意下面七条注意事项:

 烤瓷牙可以再换吗
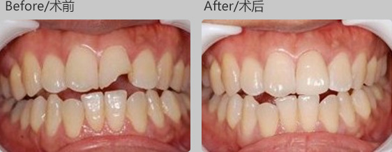
案例对比图

  1、初戴烤瓷牙时有轻度不适感患者应耐心练习使用,逐渐适应。

  2、初戴时应吃软的食物,适应后再吃正常食物。

  3、初戴烤瓷牙避免吃过凉过热的食物,以免引起激发痛。大约两周以后可以正常进食。

  4、初期与修复前相比,上下牙尖对位可能会有变化,要缓慢进食,逐渐适应,以免咬伤颊舌粘膜。

  5、烤瓷牙与基牙的接合处容易聚集菌斑,形成牙石,应注意 保持口腔清洁,养成餐后刷牙的习惯,牙缝间可以使用牙线清洁,并定期到检查、洁牙。

韦飞

  6、烤瓷牙受到超过它的应力范围的压力会碎瓷,所以不要咬太硬的食物,比如核桃一类的东西。

  7、由于牙体预备时磨除了部分牙釉质,初戴烤瓷牙时,有部分人会出现冷热敏感或疼痛,随时间推移会慢慢缓解。